Cabinet des Drs Mérieau et Souliac
Dentistes à La Saussaye
Cabinet des Drs Mérieau et Souliac
Dentistes à La Saussaye

16 RUE LA POMMERAIE 27370 La Saussaye

+33 2 35 87 54 22

Blog - Page 4

Fixation d’une prothèse par une barre sur 2 implants

Fixation d’une prothèse par une barre sur 2 implants

Allongement coronaire

Allongement coronaire

L'hygiène en orthodontie

L'hygiène en orthodontie

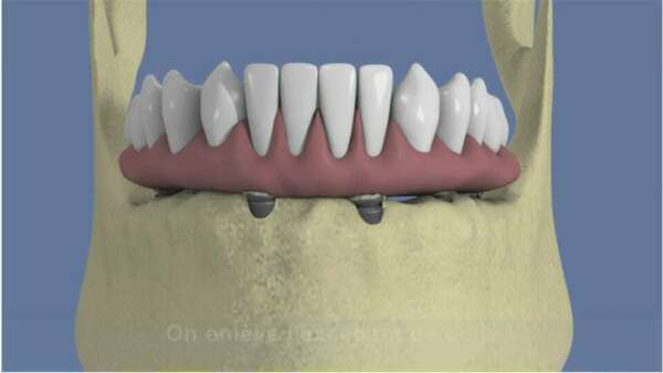
Mandibule complète et traitement implantaire pour un bridge fixe scellé

Mandibule complète et traitement implantaire pour un bridge fixe scellé

Eclaircissement ambulatoire

Eclaircissement ambulatoire

Comblement de sinus par voie latérale (sinus lift) avec implantation différée

Comblement de sinus par voie latérale (sinus lift) avec implantation différée

Affichage des articles 19-24 sur 209

Création par Webdentiste

Connexion