Cabinet des Drs Mérieau et Souliac
Dentistes à La Saussaye
Accueil
Equipe
Horaires et accès
Urgences
Nos Fiches Pratiques
Nos vidéos
Contactez nous
Questionnaire pré-RDV
Cabinet des Drs Mérieau et Souliac
Dentistes à La Saussaye
16 RUE LA POMMERAIE 27370 La Saussaye
+33 2 35 87 54 22
Accueil
Equipe
Horaires et accès
Urgences
Nos Fiches Pratiques
Nos vidéos
Contactez nous
Questionnaire pré-RDV
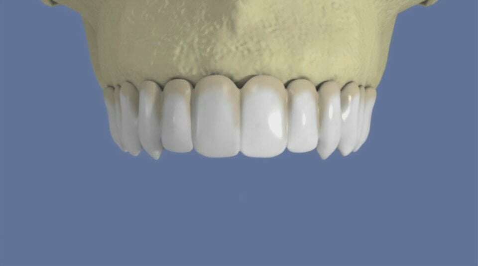
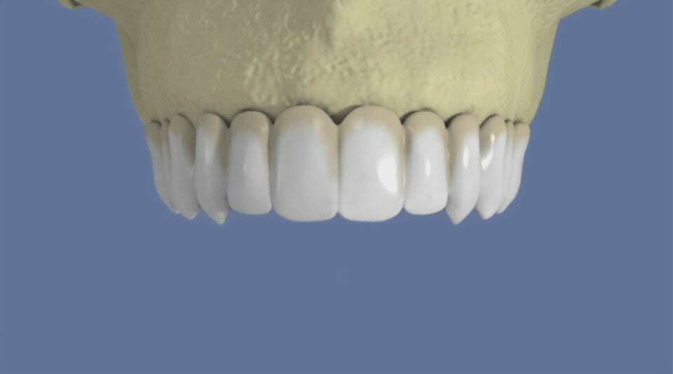
Maxillaire : bridge vissé sans fausse gencive
Vidéos 3D
Partager
Twitter
Partager
Partager
Envoyer
Copier
Cabinet des Drs Mérieau et Souliac
16 RUE LA POMMERAIE
27370
La Saussaye
+33 2 35 87 54 22
Liens
Politique de confidentialité et charte cookie
Mentions légales
Conditions Générales Utilisation
Charte déontologique
Ordre national
Annuaires chirurgiens dentistes
Création par
Connexion